Division of Pediatric Emergency, Critical Care, Pulmonology & Allergic Disorders

Stenting of BT Shunt

01 May 2018

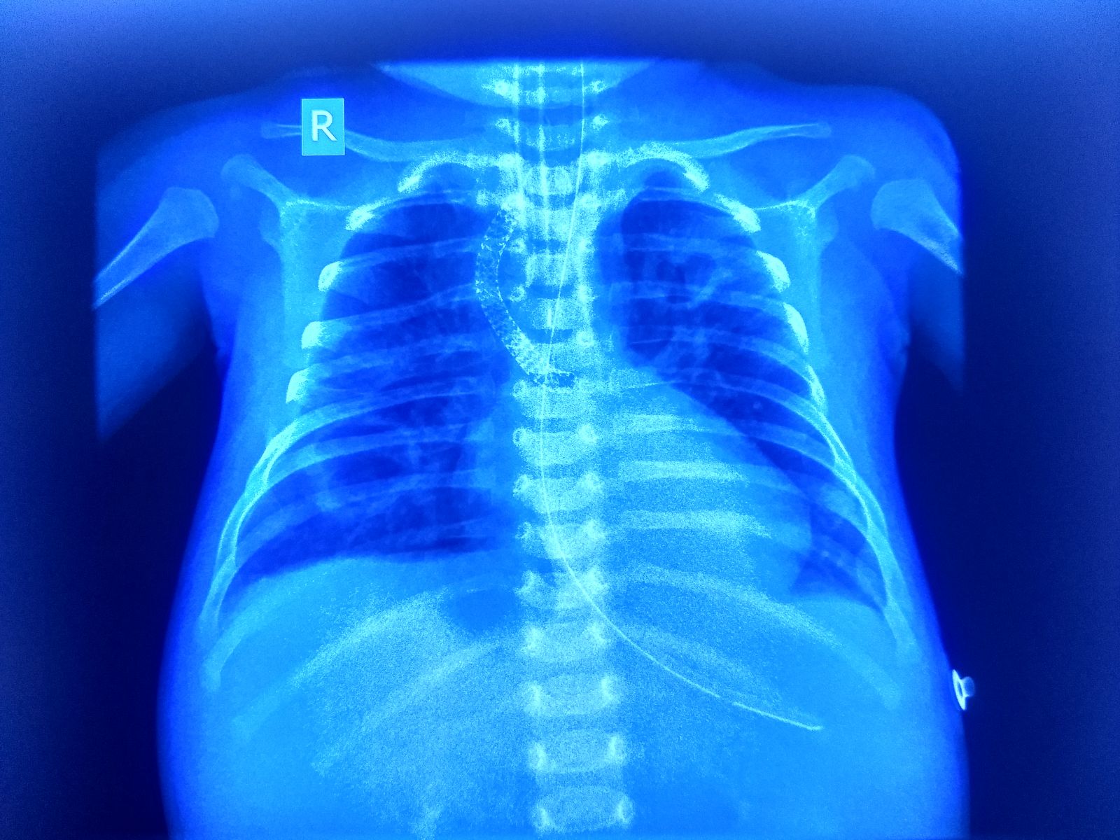
A 3-month old male child presented to ER with respiratory distress, fever and poor feeding. Child was a known case of Tetrology of Fallot and palliative surgery in form of Right modified Blaclok- Taussig shunt was performed at day 3 of life. At time of presentation Child was hypotensive with HR -200/bpm, RR-80 breath /min, BP-50/30 and his SPO2 was 50 % on room air which improved to 55 % on high flow oxygen therapy. In view of hemodynamic instability and impending respiratory failure child was intubated and started on ventilator support. After giving fluid boluses @ 20 ml/kg, inj nor- adrenaline was started in view persisting hypotensive shock. However, in spite of all above measure child’s blood pressure remained less than 5th centile for age and his saturation remained below 60%. ECHO done showed absent flow in shunt. Child was taken for emergency Cath and stenting of the B-T shunt was done. Post procedure child hemodynamic improved, His SpO2 improved to 80% , inotropes were tapered and stopped. Child was subsequently extubated after 40 hrs.

Categories

  1. All

Archives